• Mail us:info@cosmocaremedicalcenter.com
  • Address:Villa No. 460 Al Wasl Rd - opposite Pizzahut - Jumeirah 2 - Dubai.
  • (24/7 Helpline)04 353 6164
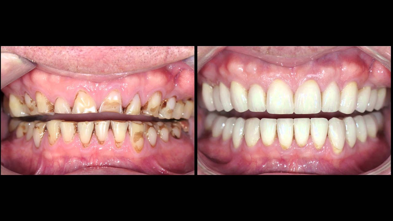
Affordable Dental Crown & Bridges
Dental Crown and Bridge Dubai

Advanced Crown & Bridge Solutions

Dental Crown & Bridge treatment restores damaged or missing teeth using durable, natural-looking materials. At Cosmocare Medical Center, we focus on precision fitting, comfort, and long-lasting results to help you smile with confidence.

Dental Bridge Dubai
Zirconia Crown Dubai

Benefits of Crown & Bridge

Restores Tooth Strength

Protects weak teeth and prevents further structural damage.

Improves Smile Appearance

Natural shade matching ensures a seamless smile.

Enhances Chewing Function

Restores proper bite alignment and comfort.

Ready to Restore Your Smile?

Book your expert consultation today.

Book Appointment